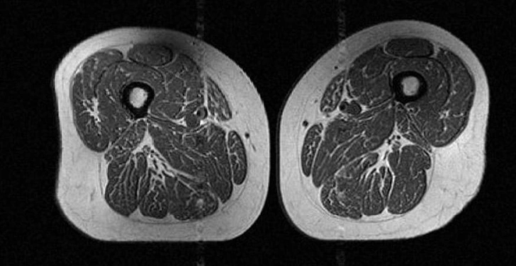
На первый взгляд это изображение можно принять за срез мраморной говядины с жировой прослойкой. Но на самом деле это МРТ-скан бедра 62-летней женщины, чей годовой рацион на 87% состоял из ультрапереработанных продуктов.
По словам доктора Зехры Аккаи, исследовательницы и консультантки группы клинической МРТ-диагностики опорно-двигательного аппарата в Калифорнийском университете в Сан-Франциско, диета этой участницы в основном состояла из сухих завтраков, шоколадных конфет или батончиков, а также газированных сладких напитков. Подобные продукты связывают с набором веса, ожирением и развитием хронических заболеваний, включая рак, сердечно-сосудистые патологии, диабет второго типа и депрессию. Такая еда может даже сокращать жизнь.
Зехра Аккая утверждает, что скрытые жировые прослойки внутри мышечных волокон и между ними могут сигнализировать о серьезных проблемах со здоровьем.
Не пропустите! Какой жир нужно есть, чтобы похудеть.
Связь между «жирными» мышцами и болью в коленях
Жировые клетки ослабляют мышцы, становясь препятствием для их роста и мешая волокнам восстанавливаться. Слабые мышцы — ключевой фактор развития остеоартрита коленного сустава, самого распространенного заболевания суставов, которым страдают почти 375 миллионов человек в мире. Раньше остеоартрит считался болезнью пожилых, но исследование показало, что более половины новых случаев приходится на людей моложе 55 лет, что, вероятно, вызвано резким ростом ожирения в мире.
«Мышцы бедра имеют решающее значение для стабильности коленного сустава. Любая потеря их силы или тонуса увеличивает механическую нагрузку на сустав, особенно у людей с лишним весом», — говорит Аккая.
Наличие внутримышечного жира в бедре означает, что затронуты и другие мышцы тела, утверждает рентгенолог доктор Мириам Бределла из NYU Langone Health. «Это системный процесс. Можно посмотреть на икры, плечи или живот — картина будет схожей».
Снижение качества мышц из-за жировой инфильтрации означает потерю силы, что является предвестником будущих проблем: более длительного пребывания в больнице, осложнений после операций и даже риска рецидива опухолей.
Виноваты ли ультрапереработанные продукты?
Исследование, опубликованное в журнале Radiology, проанализировало данные МРТ 615 человек. В среднем участникам было 60 лет, а их ИМТ (индекс массы тела) составлял 27 (избыточный вес).
Выяснилось, что количество калорий, потребляемое участниками, похоже, не имело значения. По словам соавтора исследования доктора Томаса Линка, чем больше ультрапереработанных продуктов ел человек, тем больше жира было в его мышцах, независимо от общего калоража.
Хотя исследование не доказывает прямую причинно-следственную связь, ассоциация прослеживается четко. Однако хорошая новость в том, что при переходе на здоровое питание и спорт качество мышц можно улучшить.
Как сбросить жир, укрепить мышцы и защитить суставы
Доктор Линк советует избегать ударных нагрузок (баскетбол, теннис) и выбирать щадящие упражнения для квадрицепсов, мышц задней поверхности бедра и ягодиц (приседания у стены, степ-платформа, подъемы ног). Эллиптический тренажер и силовые тренировки с весами также очень эффективны.
Что касается питания, доктор Бределла рекомендует:
Читать этикетки. Выбирайте менее обработанные варианты (например, натуральный йогурт вместо сладкого фруктового).
Добавлять цельные продукты — овощи, бобовые, крупы, фрукты.
Отказаться от сладких напитков и заменить их водой.
Избегать фастфуда. В местных кафе и ресторанах еду чаще готовят из настоящих ингредиентов.
Осторожнее с протеиновыми батончиками, многие из них перенасыщены сахаром и сами являются ультрапереработанными продуктами.
